鹌鹑肺炎克雷伯菌血清型鉴定、耐药性检测及致病潜力(三)
2结果
2.1病原菌的分离培养及镜检染色结果
从8份腹泻鹌鹑粪样中成功分离到2株疑似菌落,其在LB琼脂培养基上生长为表面光滑湿润、边缘整齐、形状大而圆的灰白色菌落(图1A);在麦康凯琼脂培养基上生长为表面光滑湿润、边缘整齐,形状小而圆的粉色菌落(图1B);在SS琼脂板上生长为表面光滑湿润、边缘整齐的淡粉色菌落(图1C),在各培养基上均为黏稠状聚在一起,均伴有臭味。革兰染色镜检呈两端钝而圆的红色短杆状菌落(图1D),根据菌株形态可初步判断2株分离株为肺炎克雷伯菌,分别命名为Ksp-A1和Ksp-A2.A-C,分离株在LB、麦康凯、SS琼脂平板上的生长情况;D,革兰染色镜检(1000×)
图1病原菌菌落形态及革兰染色镜检
2.2生化鉴定结果生化鉴定
结果显示,2株分离菌株苯丙氨酸、鸟氨酸、半固体琼脂、葡磷胨水、侧金盏花醇、硫化氢和蛋白胨水试验均呈阴性,均能分解木糖、山梨醇、棉子糖,枸橼酸钠、尿素、葡萄糖酸盐、赖氨酸和葡萄糖产气反应呈阳性(表4),参照肠杆菌科细菌生化反应阳性率表,符合肺炎克雷伯菌生化特性。
表4分离株生化鉴定结果
2.316SrDNA鉴定和遗传进化分析
利用细菌16SrDNA通用引物对分离菌株进行PCR扩增,结果显示,获得大小约1490bp的片段(图2),大小与预期相符。测序结果BLAST比对显示,2株分离菌株与肺炎克雷伯菌的相似性达到99.50%-99.93%.系统进化树结果显示,分离株均与肺炎克雷伯菌DB-4、WGT-31株属于同一进化分支(图3),进一步证明2株分离株为肺炎克雷伯菌。
2.4肺炎克雷伯菌特异性基因检测结果
对分离株Ksp-A1和Ksp-A2进行PCR扩增,检测其是否含有肠杆菌科特异性基因phoA与肺炎克雷伯菌特异性基因khe,1.0%琼脂糖凝胶电泳检测结果显示,分别获得大小为720和498bp条带(图4),条带大小符合预期,因此判断2株分离株均为肠杆菌科肺炎克雷伯菌。
图2分离株Ksp-A1(A)和Ksp-A2(B)16SrDNAPCR扩增结果
图3分离株系统进化树
图4分离株Ksp-A1(A)和Ksp-A2(B)肺炎克雷伯菌特异性基因PCR检测结果
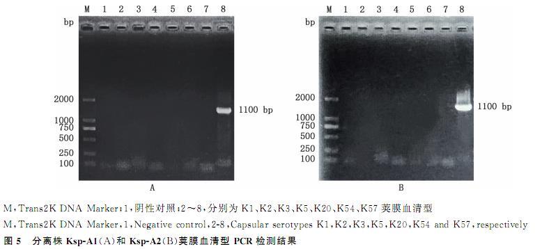
2.5肺炎克雷伯菌荚膜血清型检测结果
2株分离株使用K57荚膜血清型特异性引物均扩增出1100bp左右片段(图5),片段大小符合预期,因此判断分离株Ksp-A1和Ksp-A2的荚膜血清型均为K57.M,Trans2KDNAMarker;1,阴性对照;2-8,分别为K1、K2、K3、K5、K20、K54、K57荚膜血清型
图5分离株Ksp-A1(A)和Ksp-A2(B)荚膜血清型PCR检测结果
2.6药物敏感性检测结果
由表5可知,分离株Ksp-A1和Ksp-A2均对苯唑西林、氨苄西林、青霉素、复方新诺明、麦迪霉素和红霉素表现耐药,对头孢哌酮、头孢他啶、头孢呋辛、头孢唑啉、米诺环素、氯霉素、丁胺卡那、环丙沙星和诺氟沙星表现敏感,对头孢氨苄、羧苄西林、多黏菌素B和新霉素表现中介。Ksp-A1对头孢拉定、四环素和阿奇霉素表现中介,Ksp-A2对以上抗菌药表现敏感;Ksp-A2对卡那霉素和庆大霉素表现中介,Ksp-A1对其表现敏感。
表5分离株药敏试验结果
2.7耐药基因检测结果
使用PCR检测分离株耐药基因,1.0%琼脂糖凝胶电泳检测结果显示,分离株Ksp-A1携带blaSHV、aacC2、oqxAB、tetA、tetM和cat16种耐药基因;分离株Ksp-A2携带blaSHV、aaaA1、aacC2、oqxAB、qnrA、tetA、tetM和cat18种耐药基因(图6)。
2.8分离株毒力基因检测结果
分离株毒力基因检测显示,分离株Ksp-A1携带K88、hlyE、iucD、irp2、ompA和ompC6种毒力基因,分离株Ksp-A2携带K88、hlyE、iucD、irp2、ompA、ompC和malX7种毒力基因(图7)。
2.9生物学特性分析
2.9.1生长曲线
由图8A可知,培养2h后,分离株Ksp-A1和Ksp-A2的D600nm值均逐渐升高,开始进入对数生长期。培养12h时,分离株Ksp-A1的D600nm值达到峰值,随后进入衰退期。培养9h时,分离株Ksp-A2的D600nm值达到峰值,随后进入衰退期。
2.9.2酸碱耐受性
由图8B可知,分离株Ksp-A1、Ksp-A2在pH2.0-10.0均能存活,且pH为7.0时活性最好;当pH<2.0和pH>11.0时分离株Ksp-A1基本失去活性;当pH<2.0和pH>12.0时分离株Ksp-A2基本失去活性。
2.9.3接种量由图8C可知,分离株Ksp-A1接种量为3%、Ksp-A2接种量为2%和3%时生长状态最佳。在其他接种量条件下,2株分离株的D600nm值均呈现不同程度的下降,生长状态较差,因此分离株Ksp-A1的最适接种量为3%、Ksp-A2的最适接种量为2%.
图6分离株Ksp-A1(A)和Ksp-A2(B)耐药性基因检测结果
图7分离株Ksp-A1(A)和Ksp-A2(B)毒力基因检测结果
图8分离株生长曲线(A)、酸碱耐受(B)与接种量(C)测定结果
2.10致病性试验结果
试验组小鼠在12h后开始发病,均出现被毛粗乱、精神沉郁、呼吸困难、腹泻等症状。对照组小鼠试验期间活动正常,未见异常。当分离株Ksp-A1和Ksp-A2菌液浓度为0和1×105CFU/mL时,小鼠死亡率均为0;当菌液浓度为1×106CFU/mL时,Ksp-A1组小鼠死亡率为0,Ksp-A2组小鼠死亡率为10%;当菌液浓度为1×107CFU/mL时,Ksp-A1组小鼠死亡率为30%,Ksp-A2组小鼠死亡率为60%;当菌液浓度为1×108CFU/mL时,Ksp-A1组小鼠死亡率为70%,Ksp-A2组小鼠死亡率为90%;当菌液浓度为1×109CFU/mL时,Ksp-A1和Ksp-A2组小鼠死亡率均达到100%(表6)。经计算得出,分离株Ksp-A1和Ksp-A2对小鼠的LD50分别为3.3×107和2.6×106CFU.
相关新闻推荐
1、10种硫醚类香料对金黄色葡萄球菌生长曲线、nuc基因表达量的影响(三)
2、金黄色葡萄球菌:红霉素、庆大霉素和氧氟沙星时间-抑菌生长曲线分析(二)
