家兔肺支气管败血波氏杆菌生长曲线测定及耐药性研究(三)
2 结果与分析
2.1 分离株形态观察、16S rDNA 基因扩增及序列分析
接种病死家兔肺脏组织的 TSB 平板在 37 ℃培养 24 h 后长出白色、细小、透明的单个菌落。革兰氏染色镜检可见阴性短杆菌。用引物扩增分离株 16S rDNA 基因,扩增产物在 1 500 bp 左右有 1 条特异性条带,产物测序后经 BLAST 比对,发现分离株的 16S rDNA 基因序列与 GenBank 中支气管败血波氏杆菌的同源性达 99%。将所得菌株命名为 P201215。筛选来源不同且具有代表性的 14 株其他菌株的 16S rDNA 基因序列,构建与分离株 16S rDNA 的系统进化树。
2.2 分离株生长曲线测定
在不同培养时间测定分离株菌液的 OD600 值,根据每个时间点测得的菌液 OD600 值绘制分离株的生长曲线。从生长曲线图可见,分离株按 1% 比例接种于 LB 液体培养基后,2~9 h 为对数生长期,9 h 以后进入平台期。
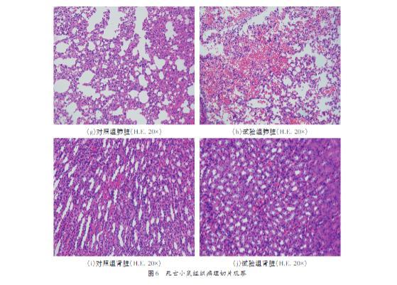
2.3 分离株感染小鼠后的病理学观察和对小鼠 LD50 测定结果
试验组小鼠发病时表现为精神萎靡、食欲不振甚至废绝,扎堆,于 4 d 内相继死亡。对死亡小鼠进行解剖,肺脏有出血斑,气管环状出血。
病理组织切片观察结果显示,试验组小鼠心脏无明显异常大量肝细胞变形,胞质疏松淡染;脾脏多见凋亡小体;肺脏严重出血,肺泡腔内可见大量红细胞;肾脏无明显异常。对照组小鼠心脏、肝脏、脾脏、肺脏及肾脏病理切片均无明显病变。
各组接种菌量、动物数和死亡数见表 2。根据表 2 可知,用 SPSS 软件计算出该分离株对 SPF 级 KM 小鼠的 LD50 为 1.19×107 CFU。
2.4 药敏试验
对分离株进行 β-内酰胺类、喹诺酮类、四环素类及氨基糖苷类的药敏试验,结果表明,分离菌株对某些头孢菌素类药物耐药,对大部分 β-内酰胺类、喹诺酮类、四环素类及氨基糖苷类药物敏感。
2.5 β-内酰胺酶耐药基因检测
用特异性引物分别扩增超广谱 β-内酰胺酶耐药基因 bla-OXA、bla-TEM、bla-SHV、bla-TEM,结果显示,4 种基因扩增结果均为阴性,表明 P201215 菌株均不携带所检测的 4 种 β-内酰胺酶耐药基因。
3 讨论
兔波氏杆菌病是兔多发性呼吸道传染病之一,其病原为支气管败血波氏杆菌。本病主要引起呼吸道症状,导致仔兔的急性死亡、成年兔的鼻炎、支气管肺炎和肺脓肿,临床上多与巴氏杆菌、葡萄球菌混合感染。
本试验从病死家兔的肺脏组织中分离得到一株细菌,经对菌落形态特征,革兰氏染色镜检、16S rDNA 鉴定测序及同源性比对后,确定为支气管败血波氏杆菌。采用振荡比浊法测定了分离菌株的生长曲线,结果表明,分离株以 1% 的接种量在 LB 液体培养基中振荡培养时,2~9 h 处于对数生长期,9 h 以后进入平台期。人工感染小鼠试验表明,该分离株对 SPF 级 KM 小鼠有明显致病性,半数致死量为 1.19×107 CFU,分离株感染小鼠主要引起肺脏严重出血。
根据药敏试验结果来看,该分离株仅对部分 β-内酰胺类药物耐药,如头孢呋辛和头孢噻肟,与牛江婷等、王晓芳等、马超锋、卞为民等分离到的菌株的耐药情况不同。经耐药基因检测,分离株并不携带超广谱 β-内酰胺酶耐药基因 bla-OXA、bla-TEM、bla-SHV 和 bla-TEM。这可能与地域差异或流行菌株的不同有关,本试验的药敏结果适合指导当地兔业合作社的临床用药,但也能为不同来源的兔支气管败血波氏杆菌的用药方案提供参考。
4 结论
本试验从死亡家兔肺脏中分离到 1 株支气管败血波氏杆菌,测定了该分离株的生长曲线,确定其对数生长期为 2~9 h,处于该时期的细菌活力及致病力均最强。测定了分离株对 SPF 级 KM 小鼠的 LD50 为 1.19×107 CFU。药敏试验结果表明,该分离株对所选用的 14 种抗菌药中的 2 种耐药。耐药基因检测结果表明,分离株并不携带超广谱 β-内酰胺酶耐药基因,分离株不具有多重耐药性。兔支气管败血波氏杆菌是目前威胁养兔业发展的重要病原菌之一,本试验结果对其进行生长规律、致病性及耐药性的研究有助于为临床用药及后续深入研究提供参考。
相关新闻推荐
1、特定精油可有效根除铜绿假单胞菌和金黄色葡萄球菌生物膜(一)
2、工程菌大肠杆菌EcN FGF19-01培养、生长曲线测定及改善慢性结肠炎作用研究(二)
