林氏扇头蜱抗菌肽重组蛋白对大肠埃希菌生长曲线影响及抑菌效果(三)
2结果
2.1基因克隆鉴定及重组质粒构建与鉴定
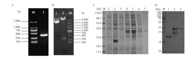
以林氏扇头蜱的cDNA为模版进行序列扩增,得到与预期大小相符约333 bp的目的条带(图1A),对特异性条带进行胶回收,测序后验证为目的基因。
图1 Microplusin-like基因扩增、双酶切和重组蛋白的表达结果注:A.Microplusin-like基因扩增,M.DL2000 marker,1.Microplusin-like PCR产物;B.双酶切结果,M.DL5000 marker,1.pCold-SUMO;2.pCold-SUMO/Microplusin-like;C.SDS-PAGE结果,M.14.4~116 kDa protein marker,1.pCold-SUMO空载未诱导,2.pCold-SUMO空载诱导,3.重组载体未诱导,4.重组载体诱导,5.重组载体表达沉淀,6.重组载体表达上清,7.纯化后的重组蛋白;D.Western Blot结果,M.10~250 kDa蛋白marker,1.空载体诱导,2.重组载体诱导,3.纯化后的重组蛋白。
2.2生物信息学分析
该序列由110个氨基酸组成,CAMPR3预测得分(SVM=1.0,RF=0.991)均>0.5,表明其具有潜在抑菌活性;净电荷数为-5.25,等电点(isoelectric point,PI)为5.29,判断其属阴离子;GRAVY值为-0.016,表明其可能具备一定亲水性以溶于液体,为后续发挥抗菌作用奠定基?。籛imley-White为27.31,表明其可能通过疏水作用破坏细菌膜结构;Boman index为1.33,表明该序列在理论上具有较好的抗菌潜力,可能具备有效的抗菌机制。
2.3重组质粒构建、原核表达及纯化鉴定
双酶切结果显示,在约5 000 bp和333 bp处各有一条与预期大小一致的目的条带(图1B),重组质粒可用于蛋白表达。SDS-PAGE结果显示,pCold-SUMO/Microplusin-like蛋白分子量约为29 kDa(图1C),与预期相符。Western Blot结果显示,在约29 kDa处出现目的条带(图1D),说明重组蛋白的His标签被对应的抗体识别。
2.4重组蛋白抑菌功能研究
2.4.1抑菌活性分析
重组蛋白对5株大肠埃希菌及1株沙门菌均表现出抗菌活性(图2),其中对E.coli ATCC25922、E.coli K88的抑菌圈直径均大于10 mm,表现出中度敏感,对E.coli 1515、E.coli 987P、E.coli K99、Salmonella pullorum CVCC 1791的抑菌圈直径大于16 mm,表现出高度敏感,对S.aureus CVCC 1882、S.aureus ATCC 43300未出现抑制效果;卡那霉素阳性对照组抑菌圈直径均大于16 mm,表现出高度敏感,空白对照组和阴性对照组未观察到抑菌圈出现,该重组蛋白对革兰阴性菌均具有一定抑制效果,对革兰阳性菌无抑制作用。见表1。
图2 Microplusin-like的抑菌圈试验结果注:A1~A4依次为:E.coli ATCC 25922阳性对照、阴性对照、空白对照、Microplusin-like;B1~B4依次为Salmonella pullorum CVCC 1791阳性对照、阴性对照、空白对照、Microplusin-like;C.E.coli 1515;D.E.coli 987P;E.E.coli K88;F.E.coli K99;G.S.aureus CVCC 1882;H.S.aureus ATCC4 3300;C~H.红色箭头为Microplusin-like,绿色箭头为阴性对照,蓝色箭头为空白对照,黄色箭头为阳性对照。
表1 Microplusin-like的抑菌圈直径mm
注:-.无抑菌圈;同一列不同小写字母表示差异有统计学意义(P<0.05)。
2.4.2最低抑菌浓度及最低杀菌浓度测定
对各供试菌株的MIC及MBC结果表明,重组蛋白对大肠埃希菌及沙门菌具有较高的抑菌活性,除E.coli K88外,最小抑菌浓度均在0.625 mg/mL,但其杀菌活性相对较弱,部分菌株的MBC值超过5 mg/mL,达到了MIC的8倍(表2)。
表2 Microplusin-like的最低抑菌浓度和最低杀菌浓度mg/mL
相关新闻推荐
1、平湖红曲黄酒酿造过程中真菌菌群动态、红曲霉生长抑制因素(一)
2、不同浓度的柠檬酸钠对脱氮假单胞杆菌发酵过程的影响——结果与分析
3、牛肉调味基料对大肠杆菌、乙型副伤寒沙门氏菌、金黄色葡萄球菌生长的控制作用
