撒坝猪耳缘组织成纤维细胞系生长曲线、生物污染检测结果——结果与分析、讨论
2结果与分析
2.1撒坝猪成纤维细胞形态学观察
组织块培养5 d左右,成纤维细胞和少量类上皮细胞从组织块周围移出生长。随着培养时间延长,大量成纤维细胞从组织块周围迁出并迅速增殖,成纤维细胞呈典型的长梭形。当细胞长至培养瓶(皿)底壁80%左右时,进行消化并传代培养。细胞传代后,生长加快,3~4 d细胞即可长满瓶底而再次传代。原代细胞及传代后细胞的培养结果见图1。
图1撒坝猪成纤维细胞A:原代细胞(20 X)B:第5代细胞(20X)
2.2撒坝猪耳缘成纤维细胞冻存前及复苏后细胞活率
撒坝猪耳缘组织成纤维细胞冻存前活率为94.16%,复苏后活率为91.12%,细胞在冻存前和复苏后都有较高的存活率,达到90%以上,表明细胞在生长时健康状况良好,培养条件适宜。另外,冻存对其存活率影响不大。
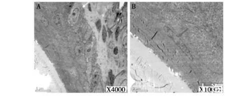
2.3撒坝猪耳缘组织透射电镜分析
撒坝猪耳缘组织透射电镜分析结果如图2所示:细胞与细胞之间排列疏松,无紧密连接和桥粒,胞质内有丰富的细胞器,胞核呈长梭形,常染色质较为丰富。图2A黄色箭头所示为表皮层和真皮层的皮肤类细胞,为椭圆形。图2A、2B红色箭头所示为位于基底层的成纤维细胞,为长梭型。
图2撒坝猪耳缘组织透射电镜分析(黄色箭头所示皮肤类细胞,红色箭头所示为成纤维细胞)
2.4撒坝猪成纤维细胞生长的动态观察
每天计数结果取平均值,绘制撒坝猪成纤维细胞生长曲线呈“S”型(图3),细胞有约3d的缓慢生长期。此后进入指数生长期,第7天细胞数达最大。然后细胞生长进入平顶期,此时由于细胞密度增大,细胞生长受接触抑制的影响,细胞开始衰老凋亡。
图3撒坝猪成纤维细胞的生长曲线
2.5撒坝猪成纤维细胞核型分析
参照Levan[7]等的标准,第3代细胞核型取100个分裂相进行统计分析。结果显示,撒坝猪染色体中正常二倍体染色体(2n=38)所占比例为92.56%。说明所培养的细胞遗传性能稳定,该细胞系为稳定的二倍体细胞系。
图4撒坝猪核型图(母)(1000x)
2.6撒坝猪成纤维细胞系微生物污染检测结果
2.6.1细菌、真菌污染检测结果
接种细胞的液体培养基和阴性对照一样,没有混浊,而阳性对照表现有明显微生物生长。
2.6.2病毒检测结果
红细胞吸附实验结果为阴性。日常相差显微镜观察,未见有病毒造成的细胞损伤现象。
2.6.3支原体检测结果
实验采用Hoechst 33342 DNA荧光染色法,未检查到撒坝猪成纤维细胞被支原体污染。实验组细胞经Hoechst33342荧光染色后,仅细胞核显色,细胞表面及细胞周围干净、清晰,无荧光小点。如图5 A所示。阳性对照组经Hoechst33342荧光染色后,可见细胞核与细胞膜及其周围均可见散在的蓝色荧光颗粒所图5 B所示。证明我实验室建立的撒坝猪成纤维细胞系支原体检测呈阴性。
图5撒坝猪成纤维细胞支原体检测
3讨论
据张利娟等报道,猪的染色体数目为2n=38。我们的实验结果表明撒坝猪的染色体数目为2n=38,与上述结论一致。撒坝猪成纤维细胞体外培养中,随着传代次数的增加,生长速度会变慢。此外,细胞的二倍体染色体数目正常的比例呈逐步下降的趋势,细胞遗传稳定性有所改变??赡苁怯捎谙赴旧矶肆C赋ざ鹊乃醵袒蛘咛逋馀嘌肪扯韵赴腄NA造成的损伤。而本实验要求培养的细胞始终维持二倍体生物学性状,保持与体内细胞相似性较大,因此不能传代太多,传2~3代细胞不用于实验就立即低温冻存。对原代细胞以及复苏后细胞中染色体众数进行检测,2n=38的占90%以上,染色体没有异常表现,说明该细胞系为稳定二倍体细胞系。
核型制备过程中,固定和滴片是核型分散成功的保证,适当的滴片高度也是染色体分散良好的重要条件。撒坝猪成纤维细胞核型制备时,用0.25μg/mL终浓度的秋水仙胺处理细胞2.5 h,低渗40 min,1.5 m滴片,能够得到分散度好、数量多的细胞中期染色体。撒坝猪染色体长度的测定计算中,实验对多个中期染色体分裂相进行了观察、分析、比对。实验结果表明,撒坝猪的染色体2n=38,与其它猪的染色体相似。
本研究从撒坝猪耳缘组织中分离、培养并建立了成纤维细胞系。通过形态学观察结果看,细胞为长梭形,绝大多数是成纤维细胞,其中含有少量其他类型的细胞,如上皮细胞。由于上皮细胞和成纤维细胞对胰蛋白酶耐受性不同。因此,利用此差别,通过几次传代后,就可得到纯化的成纤维细胞。
低温保存技术是生物科学的一门分支学科,是指将体外培养物悬浮在加有或不加冷冻?;ぜ恋娜芤褐?,以一定冷冻速率(或不同温度梯度应用不同的冷冻速率,并且有一定的保持时间)降至零下某一温度(一般是低于-70℃的超低温),此温度能够维持生物样本活性暂停,进而可以长期保存。细胞保存过程中,需要尽可能降低细胞内冰晶的形成,从而保持解冻后细胞活性、黏附能力及代谢活性。本试验采用10%DMSO加培养液来冻存细胞,冻存前细胞活率为94.16%,复苏后的细胞活率91.12%,细胞复苏后10~15 h可见细胞贴壁;复苏后第2天更换培养液,2~3 d长满培养瓶。说明冻存的各项条件对细胞损伤不大,撒坝猪成纤维细胞可在液氮冻存,解冻后细胞可继续传代培养,活率与冻存前相比相差不大??梢杂酶梅ū4嫒霭又碚庵钟帕嫉亩镆糯试?。
综上所述,本研究建立的撒坝猪耳缘组织成纤维细胞系增殖快,遗传性质稳定。该细胞系的建立,使撒坝猪这一国家重要遗传资源在细胞水平上得以保存下来,并为相关遗传学研究提供了有效的理论依据和理想的生物材料。同时对于开展其他动物成纤维细胞系的建立也有一定的理论和技术指导意义。
相关新闻推荐
1、基于微生物生长曲线测定仪研发导管尖端的自动化培养鉴定方法
2、产脂肪酶地衣芽孢杆菌LD-1302筛选、培养基及产酶条件研究(四)
